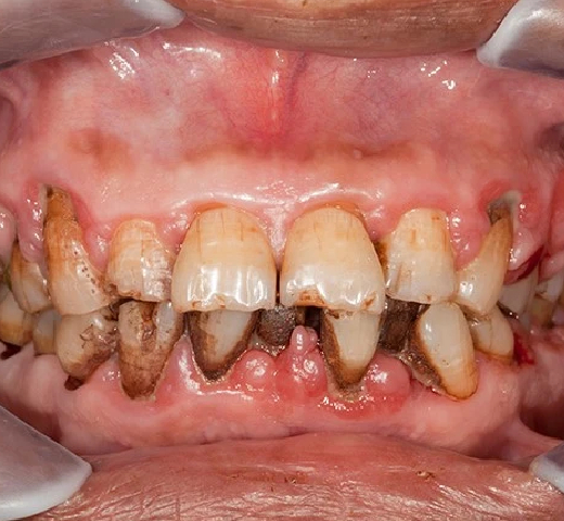
Treatment of oral diseases caused by cigarette smoking encompasses a multifaceted approach, targeting the array of dental health issues that smoking can provoke. Smoking is a significant risk factor for periodontal disease, oral cancer, tooth discoloration, bad breath, and a decrease in the success rates of dental treatments. Initial steps involve a comprehensive dental examination to assess the extent of damage, including visual examination, X-rays, and possibly biopsies of suspicious areas. Treatments may include professional cleaning to address gum disease and remove tobacco stains, surgical interventions for advanced periodontitis, and specialized care for oral cancers, which could involve surgery, radiation, and chemotherapy.
Smoking cessation is paramount in treatment plans to halt the progression of disease and improve the prognosis of dental interventions. Dentists also play a crucial role in educating patients on the impacts of smoking on oral health and may provide resources or referrals to help patients quit smoking, significantly improving their overall oral and systemic health outcomes.
Treatment of oral diseases caused by cigarette smoking F&Q
Common oral diseases include periodontal (gum) disease, oral cancer, tooth discoloration, bad breath, and delayed healing after dental procedures.
Treatment involves professional dental cleanings, scaling and root planing (deep cleaning), and sometimes surgical interventions to manage infection and promote gum reattachment to the teeth. Quitting smoking is crucial for treatment effectiveness.
Treatment options for oral cancer may include surgery to remove the cancerous tissue, radiation therapy, chemotherapy, or a combination of these, depending on the stage and location of the cancer.
Yes, professional dental cleaning and whitening treatments can help remove tobacco stains. Veneers or crowns are options for severe cases where the discoloration cannot be removed.
Smoking can lead to poor healing after dental procedures, higher risk of implant failure, and increased risk of complications after surgeries. Quitting smoking improves dental treatment outcomes.
Smoking cessation is a critical component in treating oral diseases caused by smoking. Quitting smoking helps improve the body’s ability to fight infection, heal, and respond to dental treatments, thereby reducing the risk of disease progression and recurrence.








