Treatment of bleeding gums primarily focuses on addressing the underlying cause, which is most often related to gum disease (gingivitis or periodontitis) or poor oral hygiene practices. The initial step involves improving oral hygiene through proper brushing and flossing techniques to remove plaque and tartar buildup. Professional dental cleanings are crucial, where dentists or dental hygienists perform scaling and root planing to deeply clean the gum pockets and remove bacteria. In more severe cases, medication, restorative procedures, or even surgery might be required. Additionally, lifestyle changes such as quitting smoking, eating a balanced diet rich in vitamins C and K, and managing stress can significantly help in healing and preventing further gum issues. Regular dental check-ups are essential to monitor gum health and prevent recurrences.
Treatment of bleeding gums F&Q
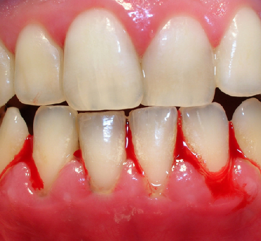
Bleeding gums are most commonly caused by gingivitis (early-stage gum disease), but can also result from poor oral hygiene, plaque buildup, aggressive brushing, or flossing, and conditions like periodontitis, vitamin deficiency, and certain medications.
Improving oral hygiene is key: brush twice daily with a soft-bristled brush, floss gently, and use an antiseptic mouthwash. Additionally, maintain a balanced diet rich in vitamins C and K to support gum health.
If bleeding persists despite improved oral hygiene, or if it’s accompanied by symptoms like swelling, pain, or bad breath, it’s important to see a dentist to rule out more serious conditions like periodontitis.
Dentists may perform scaling and root planing to remove tartar and bacteria below the gum line. In severe cases, medication, laser therapy, or surgical interventions might be necessary to restore gum health.
Yes, while often related to gum disease, bleeding gums can also indicate underlying health issues such as vitamin deficiencies, diabetes, leukemia, or platelet disorders. A comprehensive evaluation by a healthcare professional is advisable.
Prevention includes practicing good oral hygiene, regular dental check-ups and cleanings, avoiding tobacco, managing stress, and following a healthy diet. Identifying and treating gingivitis early is crucial to prevent progression to more serious gum diseases.








