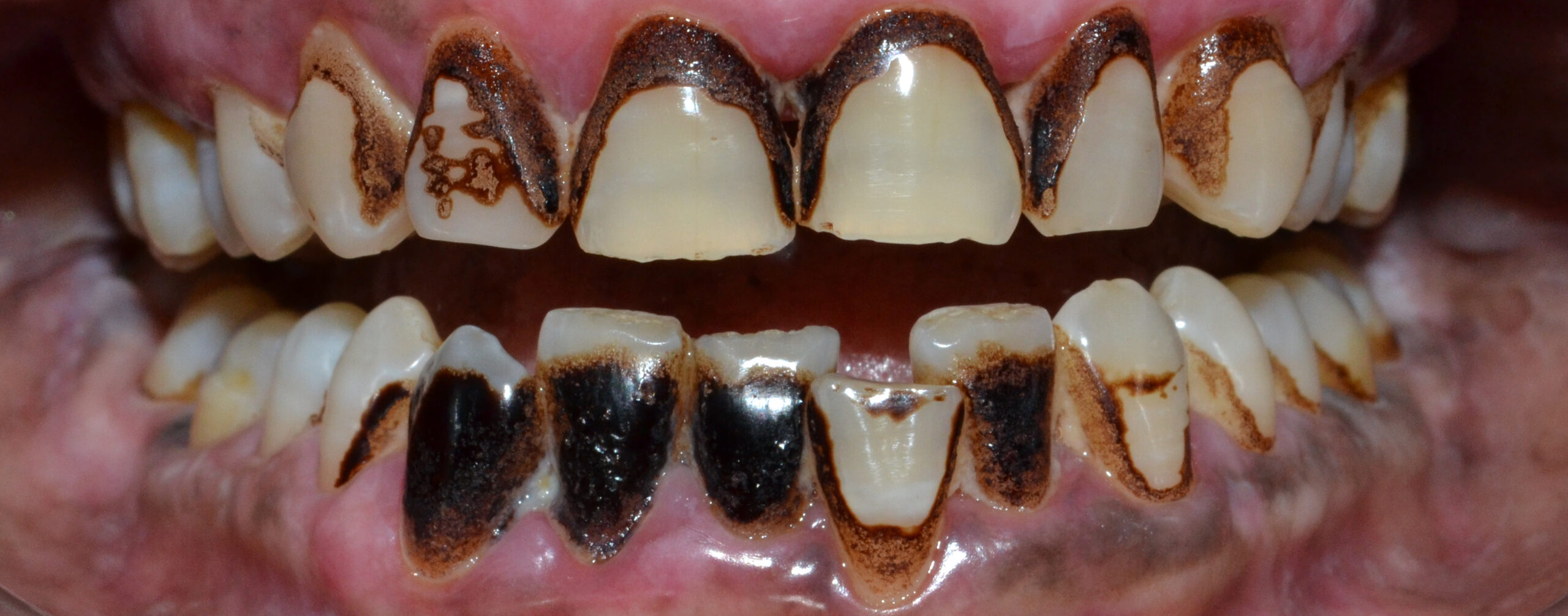
Cleaning of tobacco stains refers to the process of removing the discoloration and marks left on teeth due to the use of tobacco products. Tobacco stains, primarily from nicotine and tar, can adhere strongly to the enamel, leading to yellow or brown discoloration. The cleaning process can involve both at-home remedies and professional dental treatments. At-home methods include the use of whitening toothpaste, baking soda, and hydrogen peroxide mixtures.
However, for deeper stains, professional cleaning by a dentist through scaling, polishing, and possibly bleaching is more effective. Regular dental check-ups and good oral hygiene practices are crucial in preventing the recurrence of tobacco stains, alongside quitting tobacco use altogether for overall health benefits and maintaining dental aesthetics.
Digital X-Ray F&Q
Tobacco stains on teeth are caused by the nicotine and tar in cigarettes, chewing tobacco, and other tobacco products. These substances adhere to the enamel, discoloring the teeth over time.
Yes, tobacco stains can often be removed completely with professional dental cleaning and whitening treatments. However, the success of these treatments can depend on the severity and duration of the stains.
Effective home remedies include brushing with baking soda and hydrogen peroxide paste, using whitening toothpaste, and rinsing with apple cider vinegar. However, these should be used with caution to avoid damaging the enamel.
Professional dental cleaning removes tobacco stains through scaling and polishing. Dentists use specialized tools to scrape off tartar and plaque, and polishing helps to remove surface stains, restoring the natural color of the teeth.
The most effective preventative measure is to quit using tobacco products. Regular dental check-ups, proper oral hygiene, and using an anti-staining toothpaste can also help prevent stains from developing or worsening.
Over-the-counter products that can help include whitening toothpastes, whitening strips, and whitening mouthwashes. These products contain mild abrasives and chemicals that can help reduce surface stains, but they may take time to show significant results.








